Servicio
Life History
Descripción
The Life History Service gathers in a single space all the necessary equipment and staff specialized in different techniques to analyze different life history parameters of fish and other marine species.
Objectives & Tasks
The Life History Service offers sample collection, processing and analysis and provides access to facilities for customers to process their own samples, always in strict compliance with the regulations of use of the service. This service is structured around seven areas:
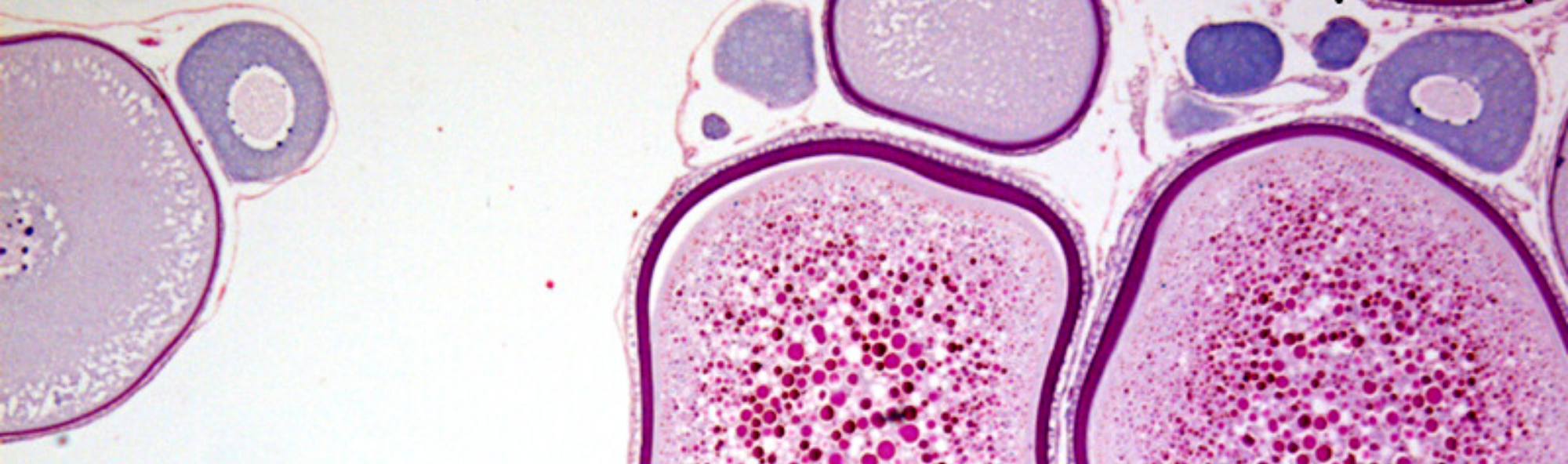
- Histology: Production of histology blocks and tissue slides, stained or not, for microtome sectioning. They specialize in paraffin sectioning (up to 3.5 μM) and routine haematoxylin-eosin staining of fish gonads. Resin embedding and sectioning, as well as other staining methods, can also be available on request. The histology laboratory is equipped with a Leica TP 1020 processor, a Leica EG 1160 embedder, a Leica RM 2155 microtome, a Leica XL Autostainer, two Memmert stoves, fume hoods, two chemical storage cabinets and a chemical warehouse for formalin-fixed sample storage.
- Reproductive parameters: Estimation of reproductive parameters of fish. It specializes in microscopic techniques to determine sex, maturation, sexual cycle, reproductive strategy, and fecundity (the latter using both the stereological and the gravimetric method). The laboratory is equipped with a Leica Z6 APOA microscope coupled to a Leica DFC490 digital camera, a Leica DMRE optical microscope with motorized stage coupled to a Leica DFC320 digital camera, and a Leica DM 5500B fluorescence microscope with motorized stage coupled to a Leica DFC310FX digital camera.
- Bioenergetics: Energy quantification (in calories or kilojoules) by calorimetry in different types of tissues from marine organisms. Estimation of fish egg quality by calorimetry or dry weight. The bioenergetics laboratory is equipped with a Parr 6300 bomb calorimeter connected to a PC for data download, two Memmert stoves and a Selecta stove.
- Sclerochronology: Determination of annual age in natural, roasted, or burnt fish otoliths, both whole and in sections. The sclerochronology laboratory is equipped with two Leica MZ6 stereo microscopes coupled to Leica DFC290HD and Leica IC80HD digital cameras, as well as a Leica EZ4 HD stereomicroscope.
- Image analysis: Measurement, quantification and analysis of structures from histological sections of fish gonads; estimation of fecundity by the auto-diametric method. Dendrochronology studies in fish otoliths. Generation of multi-focus images. Generation of microscopic high-resolution tiled images. Fluorescence image processing. The service is equipped with software programs Leica Q-Win 3.4, LAS v4.1 (Modules: Macro Editor, Advanced Analysis, Store and Recall, Multistep, Macro Runner, Interactive Measurement, Live Measurement, Multifocus and Extended Annotation), Govocitos 2.1., AnalySIS, COFECHA and ARSTAN.
- Spatial Ecology with acoustic telemetry: All aspects of the biology and ecology of animal species develop in space. Therefore, the study of spatial patterns in ecological processes is vital to achieve an efficient and sustainable management of resources, and so is integrating the spatial and behavioral component into ecosystem approaches to fisheries assessment and management. This service has the necessary equipment and knowledge to develop these studies in marine organisms through acoustic telemetry techniques.
- Molecular ecology: Next-generation DNA high-throughput sequencing (HTS) methodologies, including Close-Kin Mark-Recapture, RAD-Seq, epigenetic age determination and environmental DNA genomic and transcriptomic tools to unveil the molecular mechanisms underlying fish plasticity and diversity, as well as to delve into ecological and evolutionary mechanisms at different functional levels: ecosystem, communities and individuals.
Portfolio of services
- HISTOLOGY
- SCLEROCHRONOLOGY IN FISH | DETERMINATION OF AGE & DAILY OR ANNUAL GROWTH
- ESTIMATION OF FERTILITY IN FISH USING IMAGE ANALYSIS
- MOLECULAR IDENTIFICATION OF SPECIES
- PREPARATION OF GENOMIC AND TRANSCRIPTOMIC LIBRARIES
- ULTRASEQUENCING | BIOINFORMATICS ANALYSIS OF DIFFERENTIAL GENE EXPRESSION AND ALTERNATIVE PROCESSING OF RNA-seq EXPERIMENTS
- BIOINFORMATICS ASSISTANCE FOR GENOMIC AND PROTEOMIC PROJECTS
